Došla je na MAGNETNU REZONANCU, i kada su je priključili na uređaj - POČELA JE DA VRIŠTI OD BOLOVA! Kada su videli šta ima u ANALNOM OTVORU...
Nesreća se dogodila jer pacijentkinja prethodno nije obavestila medicinske radnike da u svom analnom otvoru ima predmet od metala.
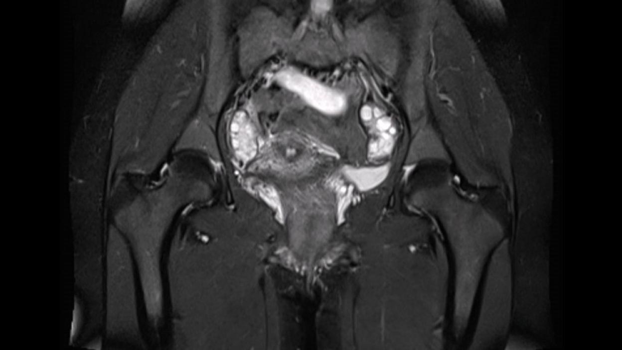
Jedna mlada žena iz Sjedinjenih Američkih Država doživela je ozbiljne povrede tokom pregleda magnetnom rezonancom, nakon što je seksualni rekvizit koji je imala u telu reagovao na snažno magnetsko polje uređaja.
Prema dostupnim informacijama, 22-godišnja pacijentkinja verovala je da je analni čep koji je nosila napravljen isključivo od silikona. Međutim, ispostavilo se da je u sebi sadržao metalne delove, što je tokom MRI pregleda dovelo do izuzetno opasne situacije.
Pod dejstvom snažnih magnetnih talasa, predmet je povučen dublje kroz telo, izazivajući teške unutrašnje povrede i dospevši sve do grudnog koša.
Kako se navodi, žena nije obavestila medicinsko osoblje da u telu ima strani predmet, niti da postoji mogućnost da on sadrži metal.
U trenutku kada je aparat počeo sa radom, pacijentkinja je osetila snažan bol i počela panično da vrišti, nakon čega je pregled momentalno prekinut.
Na društvenim mrežama incident je izazvao burne reakcije, a jedan korisnik platforme X podelio je fotografiju uz upozorenje da se nikada ne ulazi na pregled magnetnom rezonancom sa metalnim predmetima u telu.
Hitna pomoć je brzo reagovala, a žena je prebačena u bolnicu gde joj je ukazana neophodna medicinska pomoć zbog ozbiljnih povreda.
Slučaj je privukao veliku pažnju javnosti i ponovo otvorio pitanje bezbednosti tokom medicinskih pregleda, ali i odgovornosti pacijenata da lekarima prijave sve potencijalno rizične informacije pre ulaska u MRI uređaj, prenosi Mirror.